WIRYE DENTAL

일반치료

충치 치료

“정기적인 검진으로 조기에 충치를 발견하고,
적절하게 치료받는 것이 필요합니다.”
충치가 발생하게 되면 초기에는 통증 등의 이상증상이 없어 치과에 방문하지 않는 경우가
많습니다. 하지만 충치를 오래 방치할 경우에는 간헐적인 통증이 발생되거나,
염증으로 치아 신경부위까지 세균에 감염되어 신경치료까지 필요 할 수 있습니다.

충치란?

TREATMENT
충치는 구강 내 세균이 음식물을 분해하며 생긴 산에 의해 치아가
녹아 생기는 것입니다. 치아가 녹거나 닳게 되면 신경에 이르는 미세한 관들이
노출이 되기 때문에 온도에 따라 시린 증세가 나타나게 되며,
충치가 커져서 깊게 진행이 되면 신경에 염증을 일으켜 심한 통증을 유발하게 됩니다.

충치의 진행과정

  • STEP 01 법랑질 치아우식증
    치아의 가장 바깥쪽인
    법랑질이 썩는 단계.
    통증은 없으나
    충치가 진행되므로
    예방차원에서라도
    치료해야 함.
    (레진치료)
  • STEP 02 상아질 치아우식증
    신경으로부터 법랑질에
    영양분을 공급하는 중간 통로인
    상아질이 썩는 단계. 통증이
    자각되는 단계로 차고 뜨거운
    것에 간헐적으로 자극을 느낌.
    법랑질에 비해 단단하지
    않으므로 이 단계에서는
    즉시 치료해야 함
    (인레이 치료 및 크라운 치료)
  • STEP 03 치수 치아우식증
    치아의 생명인 신경(치수)까지
    충치가 번진 상태. 통증이
    지속적으로 느껴지며
    두통이 동반 될 수 있음.
    신경이 노출되었으므로
    신경치료를 진행해야 함.
    (신경 치료 후 크라운 치 료)
  • STEP 04 근단농양 및 치조골 손상
    말기 충치 상태로 잇몸이
    부어오르는 증상이 동반되며
    극심한 통증 후 만성으로
    진행되면 통증을 자각하지
    못하는 상태까지 진행함.
    신경치료가 불가능한
    경우가 대부분 임.
    (발치 후 임플란트 및 브릿 지)

레진은?

자연치아와 유사한 재료로
충치의 범위가 크지 않은 경우 사용합니다.
손상된 치아를 원래 치아의 형태 및 색상과 비슷하도록
심미치과학의 한 분야 입니다.

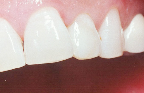
충치치료

  • 치료 전
  • 치료 후

레진의 장점 및 효과

  • 인체에 무해하며 치아와의 접착력이 좋습니다.
  • 필요한 치아를 삭제하지 않고 색소를 첨가하여 사용할 수 있습니다.
  • 치아 색과 동일한 재료일 뿐만 아니라 시술시간이 단축되고 성공률이 높다는 장점이 있습니다.
  • 복합레진 수복은 도재나 금으로 진행하는 수복과 비교해 레진 비용이 저렴한 편입니다.
  • 복합레진은 치아에 과도한 힘이 들어가는 것을 막아주기 때문에 치아에 금이 가거나 부러지는 것을 방지하는데 도움이 됩니다.
  • 복합레진의 수명은 3년에서 길게는 16년까지 긴 편이기 때문에 가성비가 우수한 재료입니다.



복합레진의 수명은 3년에서 길게는 16년까지 긴 편이기 때문에 가성비가 우수한 재료입니다.

인레이는?

인레이는 충치를 제거한 후 형태를 부여해 본을 뜨고
거기에 맞게 제작된 보철물을 접착시켜 마무리해주는
치료법입니다. 충치가 치아 옆으로 진행된 경우
충치부위가 넓은 경우, 힘을 많이 받는 부위가 포함된 경우
진행합니다.

충치치료

  • 테세라/E-MAX 인레이
  • 골드인레이

인레이의 장점 및 효과

  • 충치의 진행이 심하지 않은 경우에는 아말감을 진행할 수있지만, 심할 경우에는 인레이를 해야 합니다.
  • 인레이는 치아 머리를 감싸는 형태로 수복하게 됩니다.
  • 인레이는 아말감에 비해 비용이 좀 더 나가지만 더 큰 강도로 오래 유지 할 수 있습니다.